En pocas palabras, la tomografía computarizada, la resonancia magnética y el ultrasonido B son equipos para diagnosticar enfermedades al observar las estructuras internas y los órganos del cuerpo humano y compararlos con el estado fisiológico normal. Cuanto más sofisticado es, más importante es para la salud y las enfermedades humanas.
Estos tipos de dispositivos son el resultado del descubrimiento humano y la investigación utilizando la física moderna, utilizando ciertos medios para atravesar el cuerpo humano, obtener imágenes internas del cuerpo humano y analizar y diagnosticar el estado de salud a través de imágenes. La mayor diferencia entre ellos es que los medios utilizados para atravesar el cuerpo humano son diferentes, y las partes y los efectos del diagnóstico también son diferentes.
Ahora echemos un vistazo a la situación básica de la utilización de estos tres dispositivos:
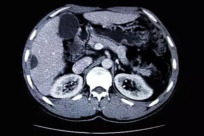
CT es la abreviatura de Computed Tomography en inglés, y su traducción significa tomografía computarizada. El principal medio de inspección utilizado es la radiografía, a través del escaneo penetrante del cuerpo por rayos X, y la imagen de la parte escaneada se obtiene a través de un detector altamente sensible, que tiene las características de escaneo rápido e imagen clara.
Los rayos X son ondas electromagnéticas de alta energía y también una banda de luz, por lo que también se les llama rayos X. La luz visible que nuestros ojos humanos pueden ver tiene una longitud de onda de aproximadamente 380~780nm (nanómetros). Cien mil veces, por lo que causará daño a las células humanas y al ADN.
El poder de penetración de rayos X es muy fuerte. Al penetrar en el cuerpo humano, formará diferentes tasas de absorción según los diferentes tejidos y las diferentes densidades del cuerpo humano, dejando imágenes en blanco y negro con diferentes escalas de grises en la película fotosensible. Los médicos pueden observar y analizar estas imágenes para conocer el estado de los tejidos internos del cuerpo humano y así hacer un diagnóstico de la enfermedad.
La TC se desarrolla sobre la base de la perspectiva de rayos X. La tomografía computarizada utiliza un dispositivo giratorio para realizar una exploración tomográfica del cuerpo humano, como cortar rodajas de zanahoria. El detector de alta sensibilidad recibe los rayos penetrantes a través del dispositivo giratorio y obtendrá Los datos se ingresan a la computadora y la imagen se reconstruye después de ser decodificada por la computadora.
La estructura principal del equipo de TC tiene tres partes, a saber: la parte de exploración, que se compone de tubos de rayos X, detectores y marcos de exploración; el sistema informático, que almacena y calcula la información y los datos recopilados mediante el escaneo; el sistema de visualización y almacenamiento de imágenes, que Las imágenes procesadas y reconstruidas se muestran en la pantalla del televisor o se toman con varias cámaras o cámaras láser para que las observen los médicos.
El equipo actual de TC se ha actualizado desde la primera generación hasta la quinta generación. Desde el principio, el área de escaneo es pequeña, el tiempo de escaneo es largo (varios segundos), los detectores son pocos (solo uno o dos) y la resolución es muy baja. Hasta ahora, el área de escaneo se ha expandido mucho, la resolución espacial puede alcanzar los 0,4 mm (milímetros), el tiempo de escaneo se reduce a 40 ms (milisegundos) y solo se necesitan 330 ms para escanear 64 capas de imágenes.
El método de escaneo solo se puede traducir desde el principio, y ahora puede realizar escaneo simple, escaneo mejorado y escaneo de contraste, y también puede realizar imágenes dinámicas tridimensionales.
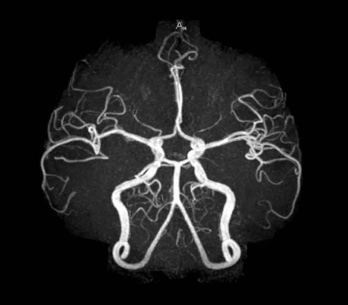
Las imágenes por resonancia magnética también se denominan imágenes por espín, también conocidas como imágenes por resonancia magnética, que es la traducción del inglés Magnetic Resonance Imaging, conocida como MRI. La resonancia magnética es desde el nivel atómico, a través del campo magnético de gradiente externo para detectar sus cambios físicos y dibujar la imagen de la estructura interna del objeto. Es un proceso muy complicado, y no es tan profundo como una ciencia popular.
En aras de una fácil comprensión, algunos principios de imagen se citan a continuación:

Los núcleos tienen espín y momento angular. Dado que los núcleos están cargados, su giro crea un momento magnético. Cuando el núcleo atómico se coloca en el campo magnético estático, el imán bipolar, que originalmente está orientado aleatoriamente, se somete a la fuerza del campo magnético y tiene la misma orientación que el campo magnético. Tomemos como ejemplo el protón, el isótopo principal del hidrógeno. Solo puede tener dos estados básicos: orientaciones "paralela" y "antiparalela", que corresponden a estados de baja y alta energía, respectivamente. Un análisis preciso demuestra que los espines no se alinean perfectamente con el campo magnético, sino que están inclinados en un ángulo θ. De esta manera, el imán dipolar comienza a precesar alrededor del campo magnético. La frecuencia de precesión depende de la fuerza del campo magnético. También depende del tipo de núcleo. La relación entre ellos satisface la relación de Larmor: ω0=γB0, es decir, la frecuencia angular de precesión ω0 es el producto de la intensidad del campo magnético B0 y la relación de rotación magnética γ. γ es una constante física fundamental de cada nucleido. El principal isótopo del hidrógeno, el protón, es el más abundante en el cuerpo humano y su momento magnético es fácilmente detectable, por lo que es el más adecuado para obtener imágenes de resonancia magnética a partir de él.
Desde un punto de vista macro, en el conjunto de momentos magnéticos de precesión, la fase es aleatoria. Su orientación combinada forma una magnetización macroscópica, representada por el momento magnético M. Es este momento magnético macroscópico el que genera la señal de RMN en la bobina receptora. De la gran cantidad de núcleos de hidrógeno, poco más de la mitad se encuentran en el estado inferior. Se puede demostrar que existe un equilibrio dinámico entre los nucleones en dos estados de energía fundamentales, y que el estado de equilibrio está determinado por el campo magnético y la temperatura. El "equilibrio térmico" se alcanza cuando el número de nucleones que pasan de un estado de menor energía a un estado de mayor energía es igual al número de nucleones que pasan de un estado de mayor energía a un estado de menor energía. Si se aplica al momento magnético una energía de radiofrecuencia correspondiente a la frecuencia de Larmor, y esta energía es igual a la diferencia en la energía del campo magnético entre los estados de energía fundamental superior e inferior, el momento magnético se puede saltar desde el "paralelo" de energía inferior. Estado Para el estado "antiparalelo" de mayor energía, se produce la resonancia.
Ahora entendámoslo de una manera simple: el cuerpo humano contiene 60-70% de agua, que se distribuye en cada célula y varios tejidos y órganos, y el contenido de agua de diferentes tejidos y órganos es diferente. Algunas personas comparan la resonancia magnética con un poco como agarrar una botella de agua y agitarla, y luego verificar los cambios en las burbujas que se agitan.
En circunstancias normales, la dirección de las líneas de fuerza magnética de cada molécula de agua es aleatoria. Bajo la acción de un fuerte campo magnético de resonancia magnética nuclear, las líneas de campo magnético de estas moléculas de agua mostrarán consistencia. Cuando el campo magnético desaparezca, las líneas de fuerza magnética de estas moléculas de agua volverán a ser aleatorias. estado. La Resonancia Magnética Nuclear es para recopilar datos sobre los cambios en las líneas del campo magnético del campo magnético del cuerpo humano a través del proceso alterno de emitir un campo magnético y detener el campo magnético, y reconstruir la imagen a través de operaciones informáticas complejas.
El equipo de resonancia magnética se compone principalmente de tres componentes básicos, a saber: la parte del imán, que está compuesta por el imán principal (que genera un fuerte campo magnético estático), la bobina de compensación (bobina de corrección), la bobina de radiofrecuencia y la bobina de gradiente. ; la parte del espectrómetro de resonancia magnética, que incluye principalmente la radiofrecuencia La parte de transmisión se compone de un conjunto de sistema de recepción de señal de resonancia magnética; la parte de procesamiento de datos y reconstrucción de imágenes está compuesta por un convertidor de señales, un registro temporal, un procesador de imágenes, una consola y una pantalla.
El campo magnético que utiliza la resonancia magnética nuclear es muy fuerte, generalmente entre 1,5T y 3T. T (Tesla) es una unidad de fuerza de campo magnético muy alta del campo magnético. 1T es igual a 10000Gs (Gauss), mientras que el campo magnético terrestre es de solo 0,3Gs en el ecuador, 0,6Gs en los polos norte y sur, y el imán de rubidio más fuerte tiene una fuerza de campo magnético de solo 300Gs. Por lo tanto, la intensidad del campo magnético de la RMN es aproximadamente 50.000 veces mayor que la de la Tierra y 100 veces mayor que la del imán más fuerte.
Es por eso que se debe prestar especial atención al hecho de que no haya objetos metálicos en el cuerpo ni instrumentos metálicos en la habitación durante el examen de resonancia magnética. Si existen estas cosas, una vez que se enciende el equipo de resonancia magnética, ocurrirán accidentes. El "Chosun Ilbo" de Corea del Sur informó de uno de esos accidentes. En la tarde del 14 de octubre de este año, un paciente fue absorbido repentinamente por un cilindro de oxígeno metálico por el fuerte campo magnético formado por el equipo mientras se sometía a un examen de resonancia magnética en el Hospital General de Gimhae en Gyeongsang-do, Corea del Sur. , Atrapó vivo al paciente.
La resonancia magnética tiene una fuerza magnética tan poderosa, pero no daña ni influye en el cuerpo humano, por lo que es el examen más seguro. Esto también rompe la superstición de que los imanes pueden curar enfermedades desde otro ángulo. Esa propaganda de que poner unos imanes en las suelas de los zapatos o en los colchones curará todas las enfermedades son en realidad artimañas de charlatanes. Espero que después de leer este artículo, no se deje engañar de nuevo.
El llamado ultrasonido B es una tecnología que utiliza el ultrasonido como medio para diagnosticar enfermedades a través de la ecografía del ultrasonido que atraviesa el cuerpo humano.
Todas las ondas tienen una frecuencia, y la frecuencia es el número de vibraciones por segundo. La frecuencia del sonido que puede escuchar el oído humano está entre 20 y 20.000 Hz. Las ondas sonoras inferiores a esta frecuencia se denominan ondas infrasónicas, y las ondas sonoras superiores a esta frecuencia se denominan ondas ultrasónicas. Las ondas infrasónicas y ultrasónicas son inaudibles para el oído humano, pero estas ondas sonoras pueden hacerse visibles a través de instrumentos relacionados hechos por el hombre.
Debido a la buena penetrabilidad y anisotropía de las ondas ultrasónicas, es posible obtener imágenes del interior de los objetos mediante absorción, reflexión, refracción y difracción. En medicina, el principio de funcionamiento de la ultrasonografía es transmitir ondas ultrasónicas al cuerpo humano. Cuando encuentra varias interfaces en el cuerpo, se reflejará y refractará, y se absorberá y atenuará en diferentes grados en diferentes tejidos. Estos procesos se pasan a través de instrumentos. Se reflejarán diferentes formas de onda, curvas e imágenes, y los médicos pueden diagnosticar enfermedades analizando estas imágenes.

Las técnicas de diagnóstico que utilizan ultrasonido se dividen en tipos A, B, C y D. El diagnóstico de enfermedades en forma de amplitud de onda de sonido se denomina "visualización unidimensional", porque la primera letra de la amplitud en inglés Amplitud es "A", también conocida como ultrasonido A; y el diagnóstico de enfermedades en el modo de brillo en escala de grises se denomina "visualización bidimensional". La primera letra de Brightness en inglés es "B", también conocida como B-ultrasonido. Los métodos de diagnóstico tipo M y tipo D se utilizan generalmente para controlar el corazón y el flujo sanguíneo respectivamente, y también se denominan métodos de diagnóstico por ecocardiografía y ecografía Doppler, que no se tratarán aquí.
El equipo de inspección por ultrasonido B se compone principalmente de sonda, host, fuente de alimentación, pantalla, carcasa y periféricos. Entre ellos, la parte de la sonda se compone de un chip, un bloque de absorción de sonido, una capa correspondiente y un bloque de absorción de sonido; el host y la pantalla están compuestos por una computadora y una pantalla que procesan información y se utilizan para recibir la información recopilada por la sonda. A través del cálculo y el procesamiento, varios datos Conviértalos en una imagen, muéstrelos en un monitor o imprímalos; la fuente de alimentación y la carcasa son instalaciones auxiliares que proporcionan energía y protección para el host y la sonda.
La tecnología de diagnóstico de ultrasonido B ahora se usa cada vez más, como el ultrasonido endoscópico, el ultrasonido mejorado con contraste, las imágenes tridimensionales, las imágenes elásticas, etc., están desempeñando un papel cada vez más importante.
Los principales pros y contras de los tres enfoques.
Examen de ultrasonido
Es conveniente y rápido, relativamente barato, no invasivo y no radiativo, y puede repetirse de forma continua y dinámica. Es el método de inspección preferido para órganos sólidos y órganos que contienen líquidos, como el abdomen, el hígado y los riñones, la vejiga y la cavidad pélvica; sin embargo, el ultrasonido se ve fácilmente afectado por el gas. Está bloqueado del hueso, por lo que no es adecuado para el examen de los pulmones, el tracto digestivo y los huesos, pero el endoscopio ultrasónico actual puede superar estos defectos hasta cierto punto.
Además, la ecografía se ve muy afectada por la calidad, la experiencia, las habilidades de examen y la seriedad del operador, y la certeza del resultado del diagnóstico se ve afectada en cierta medida.
tomografía computarizada
Se pueden ver los detalles de la lesión, la precisión es alta y los resultados del diagnóstico son más seguros. Es la primera opción para el diagnóstico de enfermedades en la cabeza, tórax, corazón, huesos, extremidades, etc.; pero algunos huesos tienen más artefactos, que afectan la visualización de las estructuras de tejido blando circundantes, como la base del cráneo y el canal espinal, etc., y se ven afectados por el movimiento respiratorio, es fácil pasar por alto lesiones pequeñas, como lesiones pequeñas en los pulmones y el hígado.
Además, los rayos X son rayos de alta energía que son dañinos para el cuerpo humano, por lo que las inspecciones frecuentes o prolongadas no son adecuadas. Algunos pacientes con enfermedades graves, como insuficiencia hepática y renal severa, hipertiroidismo, asma y ciertas lesiones alérgicas, no son aptos para este tipo de inspección. .
resonancia magnética nuclear
Sensible al diagnóstico temprano, puede mostrar anomalías en las primeras etapas de algunas lesiones y puede detectar problemas antes que los métodos de TC y ultrasonido B. Es más adecuado para exámenes de la cabeza, médula espinal, huesos, extremidades, etc. Por lo tanto, es especialmente efectivo para el examen de la base del cráneo y el canal espinal. En comparación con la TC, también compensa el defecto de que no puede ser directamente una imagen multiplanar. La angiografía se puede formar sin inyección de agente de contraste, y la lesión se puede mostrar más claramente.
Desventajas: el método de imagen es complicado, el precio es relativamente más alto y generalmente no es la primera opción para el diagnóstico de enfermedades; dado que el equipo de emergencia no puede ingresar a la sala de resonancia magnética, este examen generalmente no es adecuado para pacientes particularmente críticos; La resonancia magnética no es buena para el feto, por lo que las mujeres embarazadas no pueden usarla. Esta prueba también está contraindicada en pacientes con implantes metálicos (p. ej., marcapasos, ciertos stents) en el cuerpo; La resonancia magnética muestra una calidad de imagen deficiente de las lesiones calcificadas y la piel ósea y, por lo tanto, no es adecuada para el diagnóstico por imágenes de fracturas y otras afecciones.

Después de leer la introducción anterior, debe tener una cierta comprensión de las características y ventajas y desventajas de los exámenes de CT, MRI y B-ultrasonido. Puedes elegir según tus diferentes necesidades en el futuro. Por supuesto, lo más importante es escuchar al médico, ¿ustedes que opinan? Bienvenido a discutir, gracias por leer.